Why Choose Us?
Back
The Generations Dental Advantage
State-Of-The-Art Lab
Meet Our Doctors
Back
Dr. Darren Greenwell
Dr. Brooke Shelton
Implant Insurance & Financing
Video Library
Blog
Implant Restoration Dentistry
Back
Dental Implants
Full Mouth Dental Implants
Zygomatic Dental Implants
How It Works
Common Questions
Incredible Results
Back
Patient Stories
Before & After Photos
Additional Services
Back
Bone Grafting
Tooth Extractions
Implant Supported Dentures
IV Sedation Dentistry
Conditions We Treat
Back
Missing Teeth
Bone Loss
Failing Dental Implants
Loose Dentures
General Dentistry
Contact Us
Contact Us
Directions
Call Us
Close
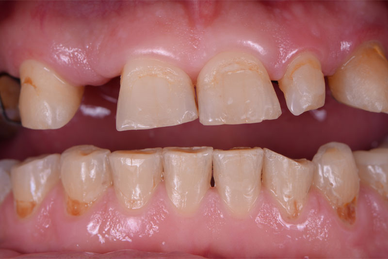
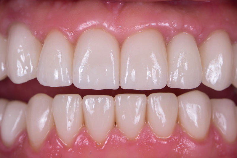
Before & After Photos - Radcliff, KY
The Proof Is
In Our Patients
Before & After Photos
All
Dental Implants
Before
After
Before
After
Before
After